When I was very young, I enjoyed many special moments with Mom and Dad. I remembered when Dad was working as a legal secretary at the Goodwood group of hotels, Mum used to take me to the Goodwood Park Hotel for a swim in the evenings while waiting for Dad to knock off work. I also remembered the wonderful holidays filled with lots of swimming, fishing, and eating at the chalets at East Coast Park or the holiday bungalows at Changi.
Naturally as a mother of an 18 year old going 28, I cherish every memorable moment with Joel.
He is on vacation these few months, waiting for classes to start at the Polytechnic in April. With time in his hands, he sometimes wake up extra early to accompany me to the office and join me for breakfast in the vicinity. Sometimes, we'll pay a visit to places of interest we never knew existed, like Bukit Chandu, which is a museum chronicalling the struggle between the Malayan and British forces with the Japanese troops during the occupation. And sometimes, we'd just go for long walks at the Botanic Gardens.
These moments of pure juvenile "clowning about" are so precious to me, and I hope to him as well.
Even David got in on the action. He usually wouldn't touch a local breakfast of soft boiled eggs, sweetened coffee and toasts with Kaya and butter. However, in the spirit of familial bonding, he orders a coke and strawberry jam on toasts. I am so glad that neighbourhood coffee shop had the good sense to expand their menu to penetrate the market beyond the local Singaporeans.
Tuesday, 31 January 2012
A long and painful journey to recovery
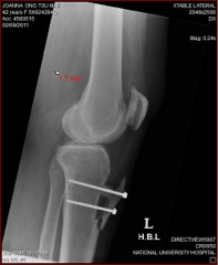
"Tibial Tuberosity Elevation", my orthopedic surgeon Assoc Prof SN chimed almost melodiously when I asked what he was planning to do with my wonky knee. To which I replied quizzically, " Table Testicular what?".
That was about 6 months ago just after I was diagnosed with a severe patella tilt - or for the uninitiated - a shifted kneecap. Years of callousness as a contact rugby player, and even more years of gungho 10km races thereafter were to blame. Compounded with months of stubbornness by skipping physiotherapy sessions after the surgery and pushing myself at the gym in spite of Prof's advice to stop doing weight training, my knee is going through "menopause". Sometimes it plays up with alot of pain, and sometimes it's ok. I think it's still a long journey to recovery. Prof promised that I will be pretty much recovered after a year. However, much as I would like to compete again in the Women's 10km run in a few months time, I might have to sit out this one.
Prof said that I could swim to stay fit. I told him the chlorine in the pool will ruin my hair. He told me to go back to regular physiotherapy sessions, but I couldn't bear to pay $100 to have that physio - young enough to be my daughter - tell me to bend and straighten my leg for 45 mins while she completes her paperwork some distance away.
Thank goodness I am no longer brandishing an ugly walking aid. First of all, it bugs me that there are no brilliant marketeers out there who can develop and market an attractive walking aid that is glamorously bejeweled and matches the modern working woman's clothes. Secondly, I resent that one with a wonky leg has to give up sexy high heels in favour of boring flat shoes that is best worn by nuns and librarians. Surely someone with a brain out there can invent a pair of beautiful fairly high-heeled shoes with great support that can be worn by a semi-paraplegic.
Next week, I will be traveling to Siem Reap for a week long vacation. It would be an interesting test of my patience at the airport security gantry if the metal detectors are set off by my knee implants. Note to self: Bring that medical card that can possibly help explain to these over-zealous airport security chaps that I am not carrying a gun. I will always remember what Prof said to me 2 weeks after my surgery, and when he found out that I went grocery-shopping with my crutches just 3 days after my surgery, " Joanna, the metal implants in your knee weren't placed in there to make you bionic."
That was about 6 months ago just after I was diagnosed with a severe patella tilt - or for the uninitiated - a shifted kneecap. Years of callousness as a contact rugby player, and even more years of gungho 10km races thereafter were to blame. Compounded with months of stubbornness by skipping physiotherapy sessions after the surgery and pushing myself at the gym in spite of Prof's advice to stop doing weight training, my knee is going through "menopause". Sometimes it plays up with alot of pain, and sometimes it's ok. I think it's still a long journey to recovery. Prof promised that I will be pretty much recovered after a year. However, much as I would like to compete again in the Women's 10km run in a few months time, I might have to sit out this one.
Prof said that I could swim to stay fit. I told him the chlorine in the pool will ruin my hair. He told me to go back to regular physiotherapy sessions, but I couldn't bear to pay $100 to have that physio - young enough to be my daughter - tell me to bend and straighten my leg for 45 mins while she completes her paperwork some distance away.
Thank goodness I am no longer brandishing an ugly walking aid. First of all, it bugs me that there are no brilliant marketeers out there who can develop and market an attractive walking aid that is glamorously bejeweled and matches the modern working woman's clothes. Secondly, I resent that one with a wonky leg has to give up sexy high heels in favour of boring flat shoes that is best worn by nuns and librarians. Surely someone with a brain out there can invent a pair of beautiful fairly high-heeled shoes with great support that can be worn by a semi-paraplegic.
Next week, I will be traveling to Siem Reap for a week long vacation. It would be an interesting test of my patience at the airport security gantry if the metal detectors are set off by my knee implants. Note to self: Bring that medical card that can possibly help explain to these over-zealous airport security chaps that I am not carrying a gun. I will always remember what Prof said to me 2 weeks after my surgery, and when he found out that I went grocery-shopping with my crutches just 3 days after my surgery, " Joanna, the metal implants in your knee weren't placed in there to make you bionic."
Monday, 30 January 2012
Maneuvering changes
This is the week wrought with many changes. I hate to call them changes. Changes sound ominous. I'd like to call them firsts.
This week I have a new boss, LY. She will take over PH's position when he officially moves on to take on a regional role.
It's the first time in a long while since I had a female boss. The last one was LJ, more than 10 years ago. And how I loved her, a great mentor and a wonderful friend. I have always had a great relationship with my bosses, apart from that crass bloke I reported to at the last bank. Like LJ, PH had also been a wonderful friend and mentor and it was a great privilege to be working for him in the last 4 years across 2 companies.
So I hope my relationship with my new boss will be good as well. I think it will be okay if she appreciates forthrightness, straight-talking and old-fashioned honesty.
This week Joel got his letter granting him admission into NA Polytechnic. I am so happy for him although he is lukewarm to the idea of doing a nursing course. " I don't want to be called Gaylord Focker" he said, recalling the movie Meet The Fockers. He's been wanting to do a mass communications course. I think he was lured by the superficial "glamour" of an advertising or marketing job. Honestly I think he'll do very well in a job that demands a jovial, cheerful and extroverted personality who strive all his life to bring happiness to the people around him. What's not to like in a course that guarantees one a job and provides you hands-on practical experience from day one of school? My hopes for the boy is to embrace this new journey with an open heart, an inquisitive mind and an enthusiastic spirit.
This week Joel starts work in his new vacation job at Home Fix. It's a significant milestone for him because he was originally rejected for the role as a retail assistant. To make matters worse, the HR lady who interviewed him told the Home Fix boss that Joel did not turn up for the interview. When Joel found out about what she had done, he boldly called her up to confront her about it, demanding an apology and finally got her to give him the job. I am so proud of his go-getter attitude. It was a lesson for him in going all the way to get what he wants and do what is right with no regrets. So I might "accidentally" stumble into the Harbourfront branch of Home Fix to buy a new power drill soon. I certainly hope he knows the difference between a power drill and a chain saw. Maybe, apart from earning his keep for the next 2 months, he may learn something useful too, like how to fix a lose washer or change a light bulb.
It's a pretty interesting thought to have my very own personal private nurse cum handyman at home. Not a bad idea.
This week I have a new boss, LY. She will take over PH's position when he officially moves on to take on a regional role.
It's the first time in a long while since I had a female boss. The last one was LJ, more than 10 years ago. And how I loved her, a great mentor and a wonderful friend. I have always had a great relationship with my bosses, apart from that crass bloke I reported to at the last bank. Like LJ, PH had also been a wonderful friend and mentor and it was a great privilege to be working for him in the last 4 years across 2 companies.
So I hope my relationship with my new boss will be good as well. I think it will be okay if she appreciates forthrightness, straight-talking and old-fashioned honesty.
This week Joel got his letter granting him admission into NA Polytechnic. I am so happy for him although he is lukewarm to the idea of doing a nursing course. " I don't want to be called Gaylord Focker" he said, recalling the movie Meet The Fockers. He's been wanting to do a mass communications course. I think he was lured by the superficial "glamour" of an advertising or marketing job. Honestly I think he'll do very well in a job that demands a jovial, cheerful and extroverted personality who strive all his life to bring happiness to the people around him. What's not to like in a course that guarantees one a job and provides you hands-on practical experience from day one of school? My hopes for the boy is to embrace this new journey with an open heart, an inquisitive mind and an enthusiastic spirit.
This week Joel starts work in his new vacation job at Home Fix. It's a significant milestone for him because he was originally rejected for the role as a retail assistant. To make matters worse, the HR lady who interviewed him told the Home Fix boss that Joel did not turn up for the interview. When Joel found out about what she had done, he boldly called her up to confront her about it, demanding an apology and finally got her to give him the job. I am so proud of his go-getter attitude. It was a lesson for him in going all the way to get what he wants and do what is right with no regrets. So I might "accidentally" stumble into the Harbourfront branch of Home Fix to buy a new power drill soon. I certainly hope he knows the difference between a power drill and a chain saw. Maybe, apart from earning his keep for the next 2 months, he may learn something useful too, like how to fix a lose washer or change a light bulb.
It's a pretty interesting thought to have my very own personal private nurse cum handyman at home. Not a bad idea.
Sunday, 29 January 2012
Reining the dragon in this lunar new year 2012
We've been celebrating Chinese New Year in the past week. Not particularly a favourite time of the year for us, it however, is a time that we remember our traditions, eat plenty of food, get together with the extended family to catch up on gossips, eat plenty of food, watch crap reruns on TV during the long weekend break and eat plenty of food.
This year, Mum even got her traditional Chinese New Year Dish, Bakwan Kepiting, featured in the New Paper, much to her delight. The recipe's also featured on YouTube.
Today is the 7th day of the 15-days long celebrations. The older Chinese folks call it "Everybody's Birthday". I'd prefer a slice of chocolate fudge cake and a glass of champagne to celebrate it if it's my birthday really, but the celebratory lunch at the 7th Storey Seafood Restaurant at the Marina Barrage, has to instead stick to the traditional menu that includes the ubiquitous Yu Sheng or Raw Fish Salad. Tossing the Yu Sheng is said to bring one good luck and great wealth. I certainly hope so as I'm about a month away from receiving my bonus.
Talk about traditions...there's one the Scots celebrate this week too and that's the traditional Burns' Supper. Not unlike our tossing of the Yu Sheng, the Scots celebrate Burns' Supper by eating Haggis ( don't ask what goes into it), Tatties (potatoes) and Neeps (parsnips) together with a few drams of Scotch whiskey. They precede their supper by walking the haggis into the room to bagpiper's music, reciting Robert Burns' Ode to the haggis then stabbing the haggis with a knife. You know the Scots...any opportunity to display some raw aggression is a good one.
So this Chinese New Year is really a celebration of both the Chinese and Scottish traditions around food and family for us.
This year, Mum even got her traditional Chinese New Year Dish, Bakwan Kepiting, featured in the New Paper, much to her delight. The recipe's also featured on YouTube.
Today is the 7th day of the 15-days long celebrations. The older Chinese folks call it "Everybody's Birthday". I'd prefer a slice of chocolate fudge cake and a glass of champagne to celebrate it if it's my birthday really, but the celebratory lunch at the 7th Storey Seafood Restaurant at the Marina Barrage, has to instead stick to the traditional menu that includes the ubiquitous Yu Sheng or Raw Fish Salad. Tossing the Yu Sheng is said to bring one good luck and great wealth. I certainly hope so as I'm about a month away from receiving my bonus.
Talk about traditions...there's one the Scots celebrate this week too and that's the traditional Burns' Supper. Not unlike our tossing of the Yu Sheng, the Scots celebrate Burns' Supper by eating Haggis ( don't ask what goes into it), Tatties (potatoes) and Neeps (parsnips) together with a few drams of Scotch whiskey. They precede their supper by walking the haggis into the room to bagpiper's music, reciting Robert Burns' Ode to the haggis then stabbing the haggis with a knife. You know the Scots...any opportunity to display some raw aggression is a good one.
So this Chinese New Year is really a celebration of both the Chinese and Scottish traditions around food and family for us.
Who are the crazy angmo and his angry wife?
David's the crazy Angmoh. He was born in Glenrothes, Scotland, settled in Asia almost 20 years ago, married to the angry wife, Joanna, and comfortably settled in Singapore for the last 14 years. Home is affectionately called The Ash's Happy Home and is located in the sleepy heartland of Serangoon North. Home's shared with our hormonally-charged teenage son, Joel, 3 loopy dogs, Bailey, Zakk and Ozzy and our helper cum Chief Domestic Officer, Evelyn.
It's always "Spot the Angmoh contest" in our neighborhood. Recently though, with the Australian and French schools located nearby, we are indeed spotting a few more stray angmohs in our estate. When David screeches our Range Rover to a halt at the carpark, almost grazing a dozy cow, hobbling along with the groceries without looking out for cars, he gets a rude holler, "chee sin Angmoh" or Crazy Angmoh. When he walks the dogs and attempts to herd them into the elevator full of screaming, dog-hating kids, he gets a rude holler " chee sin Angmoh" or Crazy Angmoh. When he returns from his grocery shopping and attempts to rush into the elevator with a horrified old lady banging the buttons frantically to shut the elevator doors, he hollers back, " yes! It's me, the chee sin ang moh."
And why is the wife angry? She's the diva in the household, intolerant of mess, loud noises and smelly kids. She gripes about everything from the weather, to the noises from the flat upstairs, to the heap of dirty laundry, not in the laundry basket, but on top and around the laundry basket, to the boy's unmade bed, to the dogs barking at their shadows.
So that's us. The crazy Angmoh and his angry wife.
It's always "Spot the Angmoh contest" in our neighborhood. Recently though, with the Australian and French schools located nearby, we are indeed spotting a few more stray angmohs in our estate. When David screeches our Range Rover to a halt at the carpark, almost grazing a dozy cow, hobbling along with the groceries without looking out for cars, he gets a rude holler, "chee sin Angmoh" or Crazy Angmoh. When he walks the dogs and attempts to herd them into the elevator full of screaming, dog-hating kids, he gets a rude holler " chee sin Angmoh" or Crazy Angmoh. When he returns from his grocery shopping and attempts to rush into the elevator with a horrified old lady banging the buttons frantically to shut the elevator doors, he hollers back, " yes! It's me, the chee sin ang moh."
And why is the wife angry? She's the diva in the household, intolerant of mess, loud noises and smelly kids. She gripes about everything from the weather, to the noises from the flat upstairs, to the heap of dirty laundry, not in the laundry basket, but on top and around the laundry basket, to the boy's unmade bed, to the dogs barking at their shadows.
So that's us. The crazy Angmoh and his angry wife.
Subscribe to:
Comments (Atom)








































